Hier meldet sich noch jemand mit derzeit mehr Titan im Körper als am Rad.... Mich hat es am 8. Mai verrissen - absurderweise mittags zwischen zwei Arbeitsterminen bei bestem Wetter auf dem Radweg in Frankfurt, und nicht etwa bei einem der teilweise etwas waghalsigem Brevets, die ich in diesem Winter bei teilweise fiesen Minusgraden gefahren bin.
Ich habe einen schwarzen Poller übersehen, der kurz vorher von einem Auto umgefahren worden war und in ca 20 cm Höhe im rechten Winkel, gut versteckt im Schatten eines Verkehrsschilds, auf den Radweg ragte.
Hier die Unfallstelle unmittelbar nach meinem Sturz. Der Poller ragte laut Zeugen viel mehr in den Radweg, bevor ich dagegen gefahren bin. (Bin auf den Fotografen = mich, der sitzend Fußgängerampel umarmt, weil ich nicht mehr laufen konnte, zugefahren, also auf "richtiger" Seite des Radwegs).
Mir hat es bei vielleicht 25 km/h das Brompton quasi unterm Hintern weggerissen, und ich bin der länge nach auf die Straße gefallen. Ein paar Schrammen am linker Hand und linkem Arm, Uhr und Brille verkratzt,
Helm unbeschädigt da nicht getragen

Blöderweise bin ich mit dem rechten Bein irgendwie am Rad hängengeblieben und nicht auf den Asphalt, sondern das Rad gefallen. Konsequenz: offener Trümmerbruch in der Kniescheibe. Aua!
Wurde noch am gleichen Tag von Spezialisten der BG Unfallklinik in Frankfurt operiert. OP ist wohl gut gelaufen, bislang ist von Infektion keine Spur, und die wirklich beeindruckende Kniewunde heilt bislang ok.
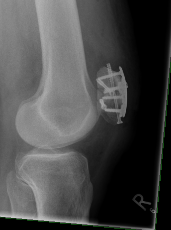
Hier der Vorher-Nachher-Vergleich.
Ich glaube, die haben mir einen
Shimano-Cleat ins Knie eingebaut
Das Titan wollen die allerdings wohl irgendwann wiederhaben. Nach 4, 5 Monaten, wenn alles richtig verheilt ist, muss ich nochmal unters Messer, da das wohl sonst auf Dauer stören kann.
Saison ist natürlich komplett gelaufen. Vor Anfang August brauche ich nicht mehr ans Radfahren zu denken - war schon ein Erfolg, als ich letzte Woche wieder alleine aufs Klo konnte. Ärzte meinen, es gäbe gute Chancen, dass das nachher beschwerdefrei sein könnte, aber the proof of the pudding is in the eating.....
Bin ziemlich bedient, vor allem weil meine ungebrochene Serie mit Brevets in 45 Kalender-Monaten jetzt im Eimer ist und ich die besten Monate des Jahres verpasse.... Und dazu dann die Angst, dass es vielleicht doch nicht richtig in Ordnung kommen könnte, weil Knie ist ja immer so eine Sache....
Na ja, mal sehen. Physio läuft, und nächste Woche kommen die Fäden raus.